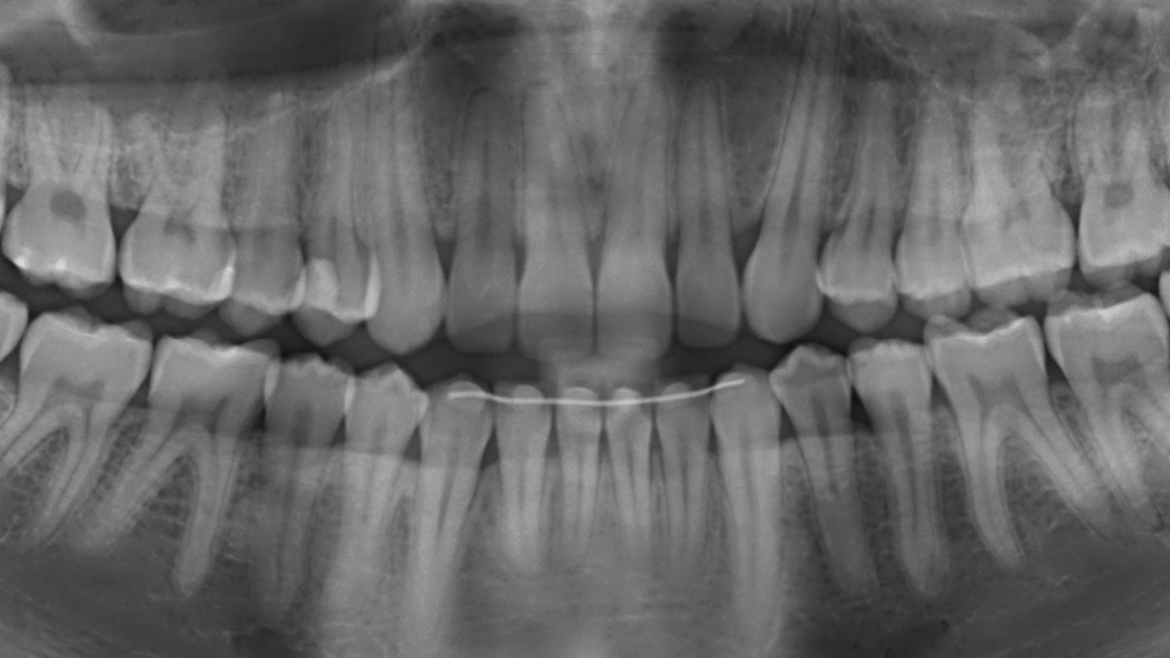
A Radiografia Panorâmica é uma técnica radiográfica que permite ao dentista a visualização das arcadas dentárias superior e inferior em um único filme. Além da visualização geral de todos os dentes, permite também a observação das estruturas anatômicas de maxila e mandíbula.
