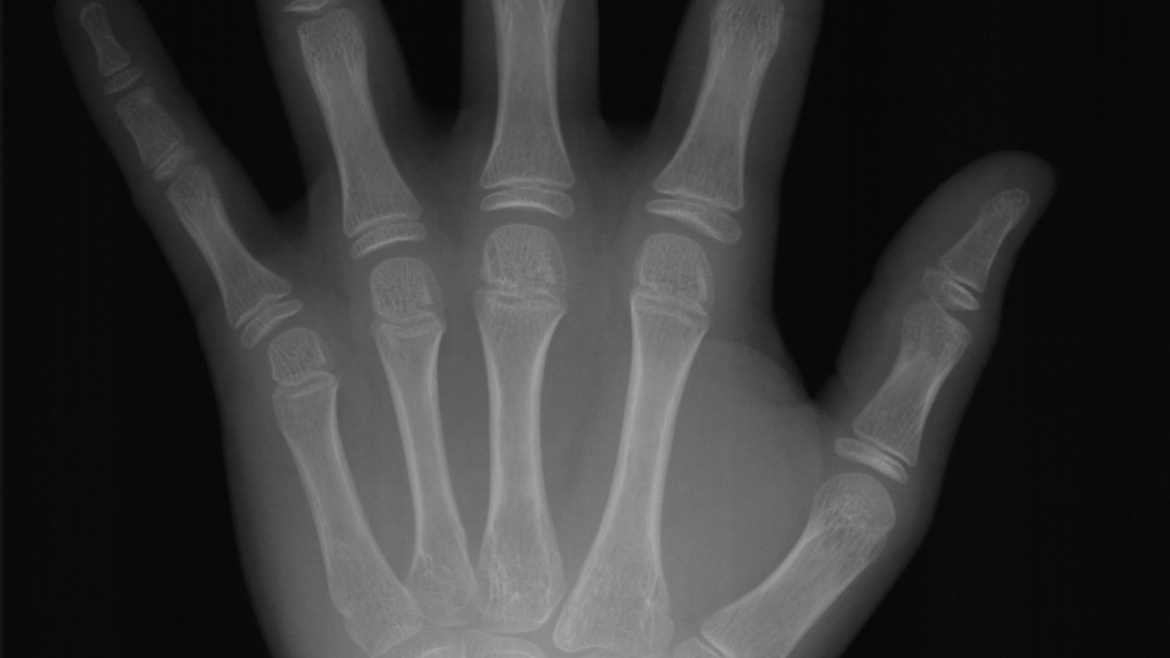
A radiografia de mão e punho é utilizada para determinar a idade óssea através a possibilidade de avaliação da maturação dos ossos. Esse exame auxilia na determinação da curva de crescimento do paciente, estimando seu estágio de desenvolvimento. É um importante aliado no planejamento de tratamentos ortodônticos/ortopédicos de crianças e adolescentes.
